바이오이미징센터
광학영상·컴퓨터단층촬영분석실

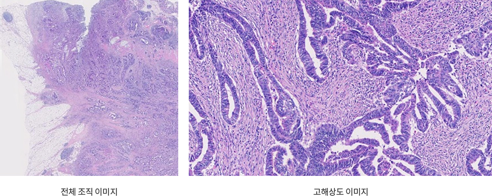
Tissue assay -Digital pathology

디지털 병리학은 디지털 병리학 스캐닝 솔루션을 사용하여 유리 슬라이드를 디지털 병리학 슬라이드로 변환하는 작업으로  생성 된 정보를 관리 할 수 있는 서비스입니다.

 

H&E

 

IHC

Tissue microarrays